|
HYPERTROPHIC
OLIVARY
DEGENERATION (HOD), REVISITED
DRS VIRZI
V.¹, TAMPIERI
D.², WEILL
A.³ AND
VENTURI
F.¹
¹DEPT. DI NEURORADIOLOGIA, TORINO,
ITALIA; ²DEPT. OF NEURORADIOLOGY,
MCGILL UNIVERSITY, MONTREAL, CANADA.
³DEPT. DE NEURORADIOLOGIE, UNIVERSITÉ DE MONTRÉAL, CANADA
We refer the reader to our article on this topic published in
the April 2001 issue of our Newsletter, by Venturi F. et al. It was giving the
description of the Guillain-Mollaret Triangle and showing an example of HOD on
the same side as the involvement of the Central Tegmental Track (CTT) from the
red nucleus down to the medullary olive.
The Guillain-Mollaret
triangle is a triangular circuit connecting the dentate nucleus of the
cerebellum of one side with the red nucleus and the inferior olivary nucleus of
the other side, via the superior cerebellar peduncle and the central tegmental
tract (CTT) (Figs. 1, 2).
 |
(Fig 1)
Anatomical
oblique section along
the superior cerebellar
peduncles. The path of
the cerebello-rubral tract
from dentate nucleus
to the contralateral red
nucleus is shown.
(Fig 2) Anatomical, axial
section of the brainstem,
at the level of the pons,
showing the location of
the central tegmental
tracts. |
HOD is considered a
transsynaptic degeneration because it occurs following loss of neuronal
input to a cell, in this case the neurons of the inferior olivary nucleus.
HOD occurs when a lesion, usually a haemorrhage, causes an interruption of
the Guillain-Mollaret triangle (Fig3).
There are three possibilities of presentation of HOD, ipsilateral
and controlateral to the lesion, but rarely it can envolve the olives
bilaterally. |
|
 |
If the lesion is located in the tegmentum of the brainstem and involves
the CTT, the degeneration occurs to the ipsilateral olive.
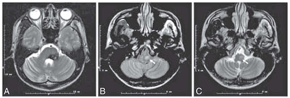
Fig4 (below) MR images obtained in a patient
with brainstem cavernous angioma. (A) Axial T2-weighted image shows
hyposignal suggesting hemosiderin deposits in the left tegmentum of the
pons. (B,C) axial PD/T2- weighted images show hypersignal at the
level of the left medullary olive which appears also enlarged in
comparison to the right one. The signal change is more apparent on the
PD-weighted image (B). |
|
 |
|
çPrevious |
7 |
|
Next
è | |